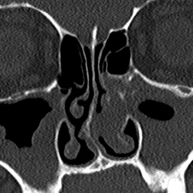
비중격수술
Nose functional surgery
비중격 수술
Yonsei coen clinic
Nose functional surgery
Yonsei coen clinic
coen nose functional surgery
축농증(부비동염)은 부비동에 염증이 생겨 발생하는 질환입으로 급성과 만성으로 구분합니다.
급성 부비동염의 경우 약물 치료를 시행하고 충분한 치료가 어려운 만성 축농증은 수술을 고려합니다.
더불어 비중격만곡증, 비후성 비염 등의 동반된 코 질환이 있을 때도 수술 치료를 시행하여 근본적인 문제를 개선합니다.
만성 부비동염
알레르기
코의 구조적 이상
유전적 요소
급격한 외부환경 변화
문진
상담실장이 아닌 이비인후과 전문의가 직접 상담하여 동반 질환 확인, 증상 확인, 점막의 상태 그리고 점액성 분비물 등을 확인합니다.
정밀 내시경
첨단 3D-CT와 내시경 촬영을 통해 코 내부의 상태와
축농증 정도 등을 확인합니다.
초기 축농증의 경우 약물치료를 통해 추이를 지켜보다 증상이 악화되거나 코 구조의 이상이
원인이라면 수술을 통한 치료를 권장합니다.
증상이 심하지 않고 특별히 합병증이 없을 경우
4~6주간 약물 치료를 시행합니다.
증상이 심하거나 비중격만곡증과 같이 코의 구조적 이상이 있을 경우 수술 치료를 시행합니다.
※ 시·수술 후 출혈, 감염, 염증, 통증, 붓기 등의 합병증이나 부작용이 있을 수 있으며, 시·수술 후 결과 및 경과는 개인에 따라 다를 수 있습니다.

기본적인 치료부터 고난도의 코수술/코성형까지
연세코앤에서 건강하고 아름다운 코를 찾아드리겠습니다.
연세코앤이비인후과의 의료진은 많은 제자들을 가르친
대학교수 출신으로 의학 발전을 위해
언제나 노력하고 있습니다.
연세코앤이비인후과는 현재까지도 국내·외 다양한
학회를 참석하며 코에 대해 더 배우고 기술을 높이는
노력을 멈추지 않고 있습니다.
환자 한 분 한 분을 정성껏
치료하자는 신념으로 상담 실장 대신 전문의가
직접 환자와 상담을 하고 있습니다.
연세코앤은 대학교수 출신 이비인후과 전문의의
전문 지식과 노하우를 통해 여러 질환의 기능적인
개선과 미용적 성형을 동시에 해결합니다.
기능적 코수술
코의 구조와 질환의 원인을
종합적으로 분석하여
비중격을 교정하고 내부를 강화
미용적 코성형
개개인의 얼굴 비율에 맞는
자연스러운 라인을
신중하게 디자인